|
|
| Kits pour la MicroGénomique |
| Amplification linéaire
des ARNs |
| RiboAmp® RNA Amplification Kit |
| Principe de l'amplification linéaire
des ARNs |
|
|
|
|
| Principe de l'amplification linéaire
des ARNs |
| Une analyse précise de l'expression
de gène nécessite de travailler sur
un type spécifique de cellules sans interférence
des cellules environnantes. Travailler à
partir d'une population pure de cellules signifie
souvent de travailler à partir d'un très
petit échantillon. Des technologies particulières
sont nécessaires pour travailler sur ces
échantillons précieux. La combinaison
entre la technologie LCM, l'amplification linéaire
des ARNs, et l'analyse en microarray révèle
des variations d'expression entre les types cellulaires.
|
|
|
| |
| Panel A: Images montrant un epithelium
canalaire normal et un carcinoma invasif (IDC) dans
un cancer du sein humain avant et après microdissection
laser LCM. Panel B: Un microarray GeneChip®
Array (Affymetrix) suite à l'hybridation
d'ARNa biotinylés générés
à partir des deux types de cellules microdisséqués.
Panel C: Analyse de clusters 2D révèle
un pattern reproductible de la regulation des genes
dans les cellules cancéreuses compares aux
cellules normales et plus important encore, révèle
une signature spécifique du stade histologique.
|
|
|
| |
| L'ARN cellulaire total a été
extrait de 2 échantillons réplicats
de 20 oocytes de souris et 30 embryons à
2 cellules à l'aide de PicoPure RNA. L'ARN
est amplifié et marqué à l'aide
du kit RiboAmp puis hybridé sur un microarray
à 15,000 cDNA pour identifier les gènes
importants dans la fertilisation et le développement
pré-implantatoire. Panel A : oocyte de souris
et cellules embryonnaires. Panel B : Microarray
hybridé. Panel C : Scatter plot montrant
que 450 gènes sont différemment exprimés
entre les oocytes et les cellulaires embryonnaires.
Les hybridations en replicats montrent une forte
corrélation (R=0.89), suggérant une
excellente reproductibilité d'amplification.
Samples coutesy of A.J. Wyrobek, F.M. Marchetti
and M. Coleman, Biology and Biotechnology Research
Program, Lawrence Livermore National Laboratory,
Livermore, CA, USA |
|
|
| Panel A: Neurones de
deux subtypes distincts de cerveau de souris, hyppocampe
CA1/CA2 et cortex frontal microdisséqués
par LCM en réplicat. L'ARN extrait est isolé
par PicoPure RNA et amplifié par RiboAmp
Kit, puis RT et marqué en cDNA Cellex
puis hybridé sur un microarray de souris
à 23,040 cDNA (Agilent Technologies). Panel
B: Les hybridations démontrent une excellente
correlation en Log2 (R=0.997), démontrant
l'excellente reproductibilité de l'entier
process. Panel C: Comparaison entre hyppocampe de
souris CA1/CA2 et cortex. Démonstration d'un
différentiel d'expression entre les deux
subtypes de neurones. |
|
|
| Produire des microgrammes à
partir de 250 cellules |
| Le kit d'amplification RiboAmp RNA
permet au chercheur une analyse moléculaire
à partir d'échantillons d'ARN, jusque
là, trop petits pour une analyse en microarray.
Le kit RiboAmp permet une amplification linéaire
à partir d'1 ng d'ARN total. Utilisant une
technologie propriétaire (brevet en cours)
pour une amplification linéaire fidèle,
les ARN m sont amplifiés jusqu'à 1000
fois en un tour et 1 000 000 de fois en deux tours.
Le kit RiboAmp produit des ARN anti-sens (aRNA),
prêt à êtres marqués et
hybrider en microarray ou pour une technique de
QRT-PCR. Le kit RiboAmp peut être utilisé
pour obtenir des résultats avec des plateformes
de puces à cDNA et oligonucléotides. |
|
|
|
|
| Maintient le niveau d'expression
de départ |
| Le kit RiboAmp RNA offre
une très haute fidélité dans
l'amplification des ARN, même à partir
d'échantillons microscopiques. La comparaison
des résultats en puces obtenus à partir
d'ARN total et d'aARN amplifiés avec RiboAmp,
révèle une très bonne concordance
entre les différents gènes exprimés.
Ceci démontre la capacité du kit RiboAmp
à fournir une amplification fidèle
nécessaire pour des données fiables
à partir de très petits échantillons. |
|
Forte corrélation en
expression différentielle entre ARN
total et ARNantisens amplifié par RiboAmp.
Le même pool de cellules de testicule
et de cerveau de souris a été
utilise. Les ARN sont hybridés sur
un microarray de 9000 cDNA. L'expression différentielle
est mesurée entre les deux types cellulaires.
La forte corrélation d'La forte corrélation
d'expression (r=0.91) entre ARN amplifié
et non-amplifié suggère une
grande fidélité de l'amplification.
|
|
|
|
| Une amplification d'ARN reproductible
pour les microarrays |
| Le kit RiboAmp permet
une amplification de qualité constante en
produisant des aRNA prêt à être
marqués et hybridés pour hybridation
sur puces avec une variabilité d'expression
minimum. L' analyse en microarray, d'amplifications
indépendantes d'une même source d'ARN
montre une excellente corrélation. |
|
|
| |
| Corrélation sur microrray
entre 3 amplifications indépendantes. L'ARN
total de lignée cellulaire de testicule murine
TM3 est amplifié en utilisant le kit RiboAmp.
Trois amplifications indépendantes de 1 tour
de synthèse à partir du même
pool d'ARN sont réalisées. L'ARN antisens
est marqué Cy5-dUTP puis hybridé sur
un microarray à 9000 ADNc de souris. Les
microarrays sont scannés et leur intensité
de fluorescence analysée. Une région
de chacun des trois microarrays est indiquée
pour démontrer que des patterns similaires
sont observés. Des courbes de corrélation
des intensités relatives sont construites
sur une échelle de log : 1 selon 2, 1 selon
3, 2 selon 3. Les coefficients de corrélation
R2 varient entre 0.94 et 0.98. |
|
|
Amplification d'ARN
antisens à partir de différentes sources
d'échantillons capturés par LCM. L'ARN
total est isolé à partir de 6 échantillons
capturés indépendemment sur des coupes
de rein de souris et de lignée cellulaire
de sein humain SKBR-3. L'ARN total est isolé
à l'aide du kit PicoPure RNA puis est amplifié
en deux tours à l'aide du kit RiboAmp.
L'ARN amplifié est déposé sur
gel d'agarose à 1.25% et coloré avec
du SYBRO Gold (Molecular Probes). Des longueurs
typiques de 200 à 600 bases sont observées.
M : marqueurs. Puits 1 : contrôle amplification
positif. Puits 2 : Contrôle négatif.
Puits 3 : Cellules de conduit rénal de souris
#1. Puits 4 : Cellules de conduit rénal de
souris #2. Puits 5 : Glomérule de rein de
souris. Puits 6 : Rein entier. Puits 7 : 250 cellules
SKBR3. Puits 8 : 500 cellules SKBR3. |
|
|
| Un protocole très rapide |
| Le kit RiboAmp comprend
tous les réactifs et consommable pour la
synthèse, transcription, et la purification
des acides nucléiques. Les étapes
d'aspiration sous vide sont totalement elliminées,
grâce à l'utilisation des nouvelles
colonnes de purification ARCTURUS , MiraCol.
|
|
|
| |
| Il n'y a que quelques
étapes de pipetage grâce à l'échantillon
qui est élué directement dans le tube
de réaction et aux réactifs qui sont
préparés et pré-mélangés.
En une journée de travail de 8 heures, le
kit RiboAmp permet l'amplification, le marquage,
et l'hybridation sur puces. Avec une nuit complémentaire
de transcription in vitro, un deuxième tour
d'amplification peut être lancé le
lendemain matin. |
|
|
|
|
| Détecter les ARNs de faible
abondance |
| Le kit RiboAmp permet
une amplification des ARNm de toutes les classes
d'abondances. En utilisant la RT-PCR, les gènes
de faibles, moyennes, et hautes classes d'abondances
sont détectés après amplification
des ARNs. L'amplification de l'ARNm dans toutes
les classes d'abondances assure que la distribution
des niveaux d'expression des gènes sera identifiable. |
|
|
| |
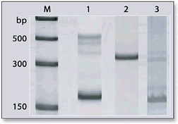
| Détection de genes
de faible à forte abundance par RT-PCR dans
des ARNs antisens. L'ARN total a été
extrait de lignée cellulaire de testicule
de souris TM3 et amplifié une fois par RiboAmp.
Une RT-PCR est réalisée sur 3 échantillons
d'ARNa avec 3 sets indépendants de primers
Stratagène : facteur d'élongation1-a
(EF-1a, gène d'abondance élevée,
~3000 copies par cellule, 187 pb), Glyceraldehyde-3-phosphate
Dehydrogenase (GAPDH, gène d'abondance moyenne,
300-3000 copies/cellule, 357 pb), et Protein Phosphatase
1 (PP1, gène de faible abondance, <300
copies/cellule, 498 pb). Les échantillons
sont analysés par électrophorèse
en acrylamide à 6% et marqués par
SYBR Gold. M: Marqueur moléculaire. Couloir
1: MEF-1a. Couloir 2: M-GAPDH. Couloir 3: MPP1.
|
|
|
| Un Système intégré pour
la Microgénomique |
| Le système intégré d'ARCTURUS
pour la Microgénomique offre une solution
globale pour préparer de très petites
quantités d'ARN pour l'analyse de l'expression
de gènes. Le système comprend la technologie
LCM avec le PixCell IIe ou l'AutoPix afin de récupérer
une population pure de cellules, le kit PicoPure
RNA pour isoler et purifier l'ARN, et le kit RiboAmp
pour l'amplification linéaire des ARNs. |
|
|
Pour usage laboratoire uniquement.

|
|
| |
|
|
|
|